2011年7月10日 前歯部GBR症例
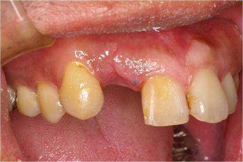
前歯が折れて来られた患者さんです。インプラントの周囲に十分な骨がなかったので、骨を作る為に人工骨を入れました。下写真 怖い人は見ないでください。
しっかり骨の中に埋められています。
この患者さんは、下の奥歯もインプラントをされました。インプラント治療後の感想を頂きました。
ありがとうございました。
↓
奥歯一本と前歯一本合計2本させて頂きました。インプラントはやはり信頼できる歯医者さんでしたかったので院長先生を信頼してお願いさせてもらいました。これからも長いお付き合いになると思いますが、宜しくお願いします。ありがとうございました。



